MedyMatch raises $2M to bring AI to medical imaging

MedyMatch Technology bills itself as an artificial intelligence healthcare startup. It’s applying AI in the form of “deep vision and advanced cognitive analytics” to the analysis of medical imaging scans to help radiologists or emergency department physicians recognise hard to spot abnormalities and in turn make better decisions.

To further develop and market its tech, the Tel Aviv and Boston-based company has raised a $2 million seed round from several private and institutional investors. These include Genesis Capital Advisors, and Exigent Alternative Capital.

As it stands today, MedyMatch is applying its tech to the area of stroke diagnosis, ensuring that stroke victims are given the correct treatment. That’s because, I’m told, there are generally two major types of stroke, each requiring very different treatment. When that treatment is applied incorrectly, not only can it be life threatening but also the difference between returning to a relatively normal life or needing further and costly care indefinitely.

One type of stroke is where someone’s blood vessel bursts in the brain and that person begins to bleed, while the other type is a clot in a blood vessel, where the blood stops flowing to that part of the brain. In the case of a blood clot, the doctor would prescribe a clot busting drug which would open up the blood vessels to get the blood flowing again. However, if the stoke has resulted from a burst vessel and the doctor accidentally prescribes the clot busting drug, it will increase the flow of the bleed, causing severe damage.

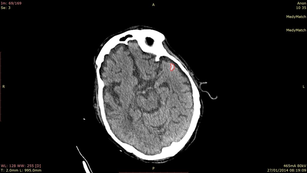
That, of course, is where MedyMatch comes in. “With such a small window to make the right call on a stroke patient, doctors misdiagnose them approximately 30 per cent of the time,” Michael Rosenberg, MedyMatch’s CFO and co-founder, tells me.

“MedyMatch compares billions of data points in images to give the physician in the emergency room an augmented set of eyes on the medical imaging they are looking at and can easily help the doctor pinpoint the location of the bleed and how bad it is. It is essentially a second look and a second opinion to support or refute the doctor’s initial diagnosis.”

In other words, AI is being used to give radiologists or physicians a second — and potentially better — pair of eyes. Though not on the scale of a stroke, I was once called back by a hospital when it was determined that I had in fact fractured my leg after initially being told I hadn’t. In that case, the second pair of eyes was provided by a technician but could easily be a computer via deep vision AI.

Techcrunch event

Join 10k+ tech and VC leaders for growth and connections at Disrupt 2025

Netflix, Box, a16z, ElevenLabs, Wayve, Hugging Face, Elad Gil, Vinod Khosla — just some of the 250+ heavy hitters leading 200+ sessions designed to deliver the insights that fuel startup growth and sharpen your edge. Don’t miss the 20th anniversary of TechCrunch, and a chance to learn from the top voices in tech. Grab your ticket before doors open to save up to $444.

Join 10k+ tech and VC leaders for growth and connections at Disrupt 2025

Netflix, Box, a16z, ElevenLabs, Wayve, Hugging Face, Elad Gil, Vinod Khosla — just some of the 250+ heavy hitters leading 200+ sessions designed to deliver the insights that fuel startup growth and sharpen your edge. Don’t miss a chance to learn from the top voices in tech. Grab your ticket before doors open to save up to $444.

San Francisco | October 27-29, 2025

Fun fact: Ian Hogarth, co-founder and CEO of gig search engine and recommendation platform Songkick, who has a background in machine learning, worked on something similar for his Masters.

“I worked on a system that could help process breast cancer biopsy scans faster – the idea was that a machine could pair with a pathologist and help to do some of the more mechanical aspects of diagnosis, thus saving the human time in processing the more edge cases,” he told me after Google acquired London-based AI startup DeepMind in early 2014.

Meanwhile, also impressive, MedyMatch recently appointed Gene Saragnese as Chairman and CEO. Prior to joining the startup, he was the Chief Executive Officer of Phillips Imaging Systems, the multi-billion dollar medical imaging division of Phillips Healthcare.

Before that Saragnese headed up the CT, Molecular imaging and image processing divisions within GE Healthcare, and prior to that he was the overall GE Healthcare Chief Technology Officer and the General Manager of GE’s MRI business. Not a bad hire by anybody’s standards.

Topics

,
Loading the next article
Error loading the next article