I visited a teeth-straightening startup and found out I needed a root canal

Going to the dentist can be anxiety-inducing. Unfortunately, it was no different for me last week when I went to discuss Uniform Teeth’s recent $4 million seed funding round from Lerer Hippeau, Refactor Capital, Founder’s Fund and Slow Ventures.

Uniform Teeth is a clear teeth aligner startup that competes with the likes of Invisalign and Smile Direct Club. The startup takes a One Medical-like approach in that it provides real, licensed orthodontists to see you and treat your bite.

“For us, we’re really focused on transforming the orthodontic experience,” Uniform Teeth CEO Meghan Jewitt told me at the startup’s flagship dental office in San Francisco. “There are a lot of health care companies out there that are taking areas that aren’t very customer-centric.”

Jewitt, who spent a couple of years at One Medical as director of operations, pointed to One Medical, Oscar Insurance and 23andMe as examples of companies taking a very customer-centric approach.

“We are really interested in doing the same for the orthodontics space,” she said.

Ahead of the first visit, patients use the Uniform app to take photos of their teeth and their bite. During the initial visit, patients receive a panoramic scan and 3D imaging to confirm what type of work needs to be done.

Last week during my visit, Jewitt and Uniform Teeth co-founder Dr. Kjeld Aamodt showed me the technology Uniform uses for its patient evaluations.

Techcrunch event

Join 10k+ tech and VC leaders for growth and connections at Disrupt 2025

Netflix, Box, a16z, ElevenLabs, Wayve, Hugging Face, Elad Gil, Vinod Khosla — just some of the 250+ heavy hitters leading 200+ sessions designed to deliver the insights that fuel startup growth and sharpen your edge. Don’t miss the 20th anniversary of TechCrunch, and a chance to learn from the top voices in tech. Grab your ticket before doors open to save up to $444.

Join 10k+ tech and VC leaders for growth and connections at Disrupt 2025

Netflix, Box, a16z, ElevenLabs, Wayve, Hugging Face, Elad Gil, Vinod Khosla — just some of the 250+ heavy hitters leading 200+ sessions designed to deliver the insights that fuel startup growth and sharpen your edge. Don’t miss a chance to learn from the top voices in tech. Grab your ticket before doors open to save up to $444.

San Francisco | October 27-29, 2025

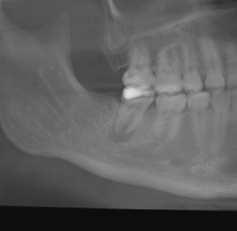
In the GIF above, you can see I received a 3D panoramic X-ray. The process took about 10 seconds and it’s about the same exposure to X-rays as a flight from San Francisco to Los Angeles, Dr. Aamodt said.

“With that information, we’re able to see the health of your roots, your teeth, the bone, your jaw joints, check for anything that could get worse during treatment,” Dr. Aamodt said.

Below, you can see the 3D scan.

Next is looking in-between the teeth. From here, the idea is to get a much more holistic view, Dr. Aamodt said. This is where things got interesting.

If you look at the bottom left of the photo, under my back bottom tooth, you can see a dark circle below the tooth. Dr. Aamodt gently pointed that out to me.

“That tells me there’s bacteria living inside of your jaw,” he explained. “A lot of people have this. It’s pretty common so don’t beat yourself up for it.”

This is when he told me I’d likely need to get a root canal to get rid of it. Mild panic ensued.

Dr. Aamodt went on to explain that, if I were a patient of his looking to get my teeth straightened, he would recommend that I first get the root canal before any teeth movement. That’s because, he explained, moving teeth at that point could potentially result in further infection.

“The concern about that is when we move a tooth with that, the infection will get worse and you could risk losing that tooth,” he told me.

Although I was freaking out internally, I continued to move ahead with the process. Next up was the 3D scan, which results in something fancy called a 3D Cone Beam Computed Tomography. This, Dr. Aamodt said, is what really sets Uniform Teeth apart in precision tooth movement.

This process takes the place of dental impressions, which are made by biting into a tray with gooey material. I didn’t feel like getting my bottom teeth scanned, but below is what the top looks like.

At this point Uniform Teeth would share its recommendations with the patient. My personal recommendation was to go see my dentist and, if I’m interested in straightening my teeth, come back once my roots are in a healthy enough state.

From there, I’d receive a custom treatment plan that combines the X-ray plus 3D scan to predict how my teeth will move. After receiving the clear aligners in a couple of weeks, I’d check in with Dr. Aamodt every week via the mobile app. If something were to come up, I could always set up an in-person appointment. Most people average about two to three visits in total, Jewitt said. All of that would add up to about $3,500.

The reason Uniform Teeth requires in-office visits is because 75 percent or more of the cases require additional procedures. For example, some people require small, tooth-colored attachments to be placed onto the clear aligners. Those attachments can help move teeth in a more advanced way, Dr. Aamodt said.

“If you don’t have these, then you can tip some teeth but you can’t do all of the things to help improve the bite, to create a really lasting, beautiful, healthy smile,” he explained.

Uniform Teeth currently treats patients in San Francisco, but intends to open additional offices nationwide next year. As the company expands, the plan is to bring on board more full-time orthodontists.

“Right now, we’re an employment-based model and we’d really like to continue that because it allows us to control the experience and deliver a really high-quality service,” Jewitt said.

A lot of companies say they care about the customer when, in reality, they just care about making money. But I genuinely believe Uniform Teeth does care. After I left with my tail between my legs that day, I called my dentist to set up an appointment. The following day, my dentist confirmed what Dr. Aamodt found and proceeded to set me up to get a root canal. A few days later, Dr. Aamodt checked in with me via the mobile app to ask me how I was doing and to make sure I was getting it treated. I was pleased to let him know, as Olivia Pope likes to say, “It’s handled.”

Tech startups want to go inside your mouth

Topics

, , , , , , , , ,
Loading the next article
Error loading the next article