BreastCancerAI
Image Credits:MIT

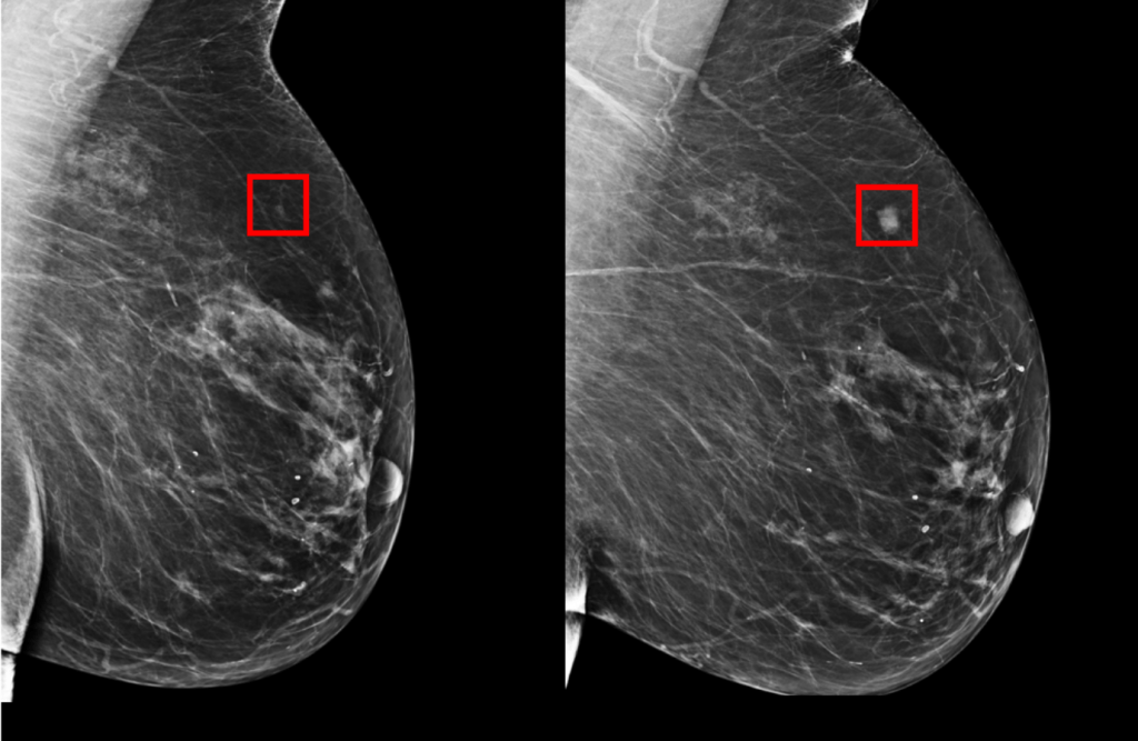
MIT AI tool can predict breast cancer up to 5 years early, works equally well for white and black patients

MIT’s Computer Science and Artificial Intelligence Lab has developed a new deep learning-based AI prediction model that can anticipate the development of breast cancer up to five years in advance. Researchers working on the product also recognized that other similar projects have often had inherent bias because they were based overwhelmingly on white patient populations, and specifically designed their own model so that it is informed by “more equitable” data that ensures it’s “equally accurate for white and black women.”

That’s key, MIT notes in a blog post, because black women are more than 42 percent more likely than white women to die from breast cancer, and one contributing factor could be that they aren’t as well-served by current early detection techniques. MIT says that its work in developing this technique was aimed specifically at making the assessment of health risks of this nature more accurate for minorities, who are often not well represented in development of deep learning models. The issue of algorithmic bias is a focus of a lot of industry research and even newer products forthcoming from technology companies working on deploying AI in the field.

This MIT tool, which is trained on mammograms and patient outcomes (eventual development of cancer being the key one) from over 60,000 patients (with over 90,000 mammograms total) from the Massachusetts General Hospital, starts from the data and uses deep learning to identify patterns that would not be apparent or even observable by human clinicians. Because it’s not based on existing assumptions or received knowledge about risk factors, which are at best a suggestive framework, the results have so far shown to be far more accurate, especially at predictive, pre-diagnosis discovery.

Overall, the project is intended to help healthcare professionals put together the right screening program for individuals in their care and eliminate the heartbreaking and all-too common outcome of late diagnosis. MIT hopes the technique can also be used to improve detection of other diseases that have similar problems with existing risk models with far too many gaps and lower degrees of accuracy.

Topics

, , , , , , , , ,
Loading the next article
Error loading the next article