A billion medical images are exposed online, as doctors ignore warnings
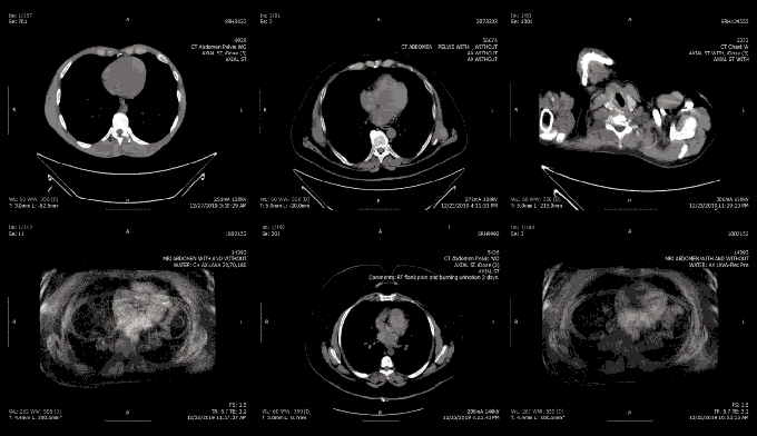
This story was reported in partnership with health news site The Mighty. Every day, millions of new medical images containing the personal health information of patients are spilling out onto the internet. Hundreds of hospitals, medical offices and imaging centers are running insecure storage systems, allowing anyone with an internet connection and free-to-download software to … Continue reading A billion medical images are exposed online, as doctors ignore warnings
Copy and paste this URL into your WordPress site to embed
Copy and paste this code into your site to embed