Image Credits:Deep01 (opens in a new window)

Taiwanese startup Deep01 raises $2.7 million for its AI-based medical imaging software

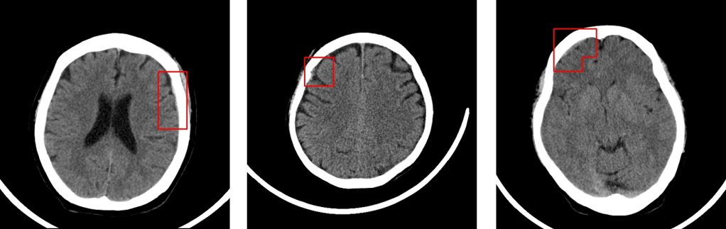
Deep01, a Taiwanese startup that develops software to help doctors interpret CT brain scans more quickly, announced today that it has raised $2.7 million. The funding was led by PC maker ASUSTek.

Deep01’s product has obtained clearance from both Taiwan and the United States’ Food and Drug Administrations, and the company received its first purchase order, worth about $700,000, in February.

Other investors included the Digital Economy Fund, which is co-funded by Taiwanese research organizations Industrial Technology Research Institute (ITRI) and the Institute for Information Industry (III), and BE Capital.

Deep01’s software is currently used in two medical centers and four hospitals in Taiwan and has already helped doctors check more than 2,000 brain scans.

Created for use by emergency departments, Deep01 says its software can detect acute intracerebral hemorrhage with an accuracy rate of 93% to 95%, within 30 seconds.

The startup was launched in 2016 by founder and CEO David Chou, who earned his master’s degree in computer science at Carnegie Mellon University and was a Harvard University research fellow at Massachusetts General Hospital between 2018 and 2019.

In a press statement, Albert Chang, ASUS corporate vice president and co-head of its AIoT Business Group, said “Deep01 is a leading startup in the AI medical area. The collaboration is promising for smart medical applications.”

Techcrunch event

Join 10k+ tech and VC leaders for growth and connections at Disrupt 2025

Netflix, Box, a16z, ElevenLabs, Wayve, Hugging Face, Elad Gil, Vinod Khosla — just some of the 250+ heavy hitters leading 200+ sessions designed to deliver the insights that fuel startup growth and sharpen your edge. Don’t miss the 20th anniversary of TechCrunch, and a chance to learn from the top voices in tech. Grab your ticket before doors open to save up to $444.

Join 10k+ tech and VC leaders for growth and connections at Disrupt 2025

Netflix, Box, a16z, ElevenLabs, Wayve, Hugging Face, Elad Gil, Vinod Khosla — just some of the 250+ heavy hitters leading 200+ sessions designed to deliver the insights that fuel startup growth and sharpen your edge. Don’t miss a chance to learn from the top voices in tech. Grab your ticket before doors open to save up to $444.

San Francisco | October 27-29, 2025

Topics

, , , , , , , , ,
Loading the next article
Error loading the next article